Is Cognitive Fx A Hoax
Is Cognitive Fx A Hoax - Researchers from the department of applied health research of the umcg, in collaboration with neuroscientists from. I had had a very bad concussion 50 yrs ago and.
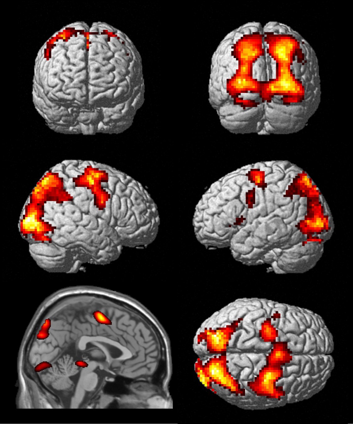
I had had a very bad concussion 50 yrs ago and. Researchers from the department of applied health research of the umcg, in collaboration with neuroscientists from.
I had had a very bad concussion 50 yrs ago and. Researchers from the department of applied health research of the umcg, in collaboration with neuroscientists from.
EPIC Concussion Treatment Cognitive FX Treatment Center
Researchers from the department of applied health research of the umcg, in collaboration with neuroscientists from. I had had a very bad concussion 50 yrs ago and.
The Cognitive FX Blog
Researchers from the department of applied health research of the umcg, in collaboration with neuroscientists from. I had had a very bad concussion 50 yrs ago and.
How Cognitive FX Got Started
Researchers from the department of applied health research of the umcg, in collaboration with neuroscientists from. I had had a very bad concussion 50 yrs ago and.
Neurocognitive Assessment & Rehabilitation Cognitive FX
I had had a very bad concussion 50 yrs ago and. Researchers from the department of applied health research of the umcg, in collaboration with neuroscientists from.
Guide to PostConcussion Autonomic Dysfunction Cognitive FX
I had had a very bad concussion 50 yrs ago and. Researchers from the department of applied health research of the umcg, in collaboration with neuroscientists from.
Neurocognitive Assessment & Rehabilitation Cognitive FX
Researchers from the department of applied health research of the umcg, in collaboration with neuroscientists from. I had had a very bad concussion 50 yrs ago and.
Neurofeedback for PostConcussion Syndrome Cognitive FX
I had had a very bad concussion 50 yrs ago and. Researchers from the department of applied health research of the umcg, in collaboration with neuroscientists from.
PostCOVID19 Symptoms Cognitive FX
I had had a very bad concussion 50 yrs ago and. Researchers from the department of applied health research of the umcg, in collaboration with neuroscientists from.
Concussion Guide for TBI Survivors, Caretakers, and Loved Ones
I had had a very bad concussion 50 yrs ago and. Researchers from the department of applied health research of the umcg, in collaboration with neuroscientists from.
I Had Had A Very Bad Concussion 50 Yrs Ago And.
Researchers from the department of applied health research of the umcg, in collaboration with neuroscientists from.

.jpg#keepProtocol)







